来源:新材料在线|
发表时间:2024-06-13
点击:10705

外消旋聚乳酸
Poly(D,L-lactide),PDLLA

外消旋聚乳酸(Poly(D,L-lactide),PDLLA)是由左旋(L型)和右旋(D型)两种异构体组成无定形聚合物,具有独特的物理和化学性质,以及优异的生物相容性和可降解性能。
PDLLA在医疗器械领域有广泛应用,可用作医美方向的面部填充材料,用于药物缓释载体方面的载药涂层、载药微球或微粒等;用于组织工程的骨固定器械或组织修复多孔支架;种植体与牙槽骨修复;术后防粘连膜;手术缝合线;止血夹;视网膜眼科植入材料等。
“
深圳聚生PDLLA材料特点
“
深圳聚生植入级PDLLA材料性能指标

* 深圳聚生可依据客户要求,提供不同分子量或特性粘度的医用原料。
“
深圳聚生植入级PDLLA微球性能指标

图 | PDLLA微球SEM形貌观察

* 2024年6月8日,深圳聚生生物(eSUNMED)医用PLLA微球已完成主文档登记备案。
“
PDLLA材料的常见应用
1. 面部填充材料
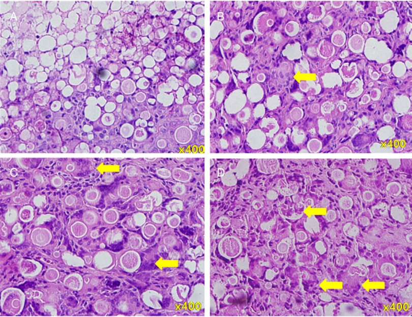
PDLLA材料制备成20~50μm微球,是一种性能优异的皮下刺激填充剂,具有与PLLA微球相似的特性,但由于PDLLA为无定形聚合物、不结晶,因此体内外降解速率更快,PDLLA微球内外部形貌与PLLA微球也存在差异。整体而言,PDLLA微球作为一种新型的面部填充材料,具有优异的生物相容性、可生物降解以及具有降解刺激胶原再生的效果[2],目前基于PDLLA微球的医美填充剂产品已经在临床上获得广泛应用。
市面上已有爱塑菲聚双旋乳酸PDLLA微球面部填充剂获批上市,深圳聚生生物可提供匹配填充剂产品的PDLLA原料和微球。

图:PDLLA填充剂注射到SD大鼠皮下2 ~ 20周H&E染色观察(×400)。(A) 第2周;(B) 第8周;(C)第12周;(D) 第20周。黄色箭头为异物巨细胞,从A到D依次数量递增。
2. PDLLA载药涂层
PDDLA载药涂层在可降解冠脉支架中应用较多,代表性产品应用实例如下:

3. 骨修复与组织工程支架
PDLLA的玻璃化转变温度约为50~60℃,可打印性能好,易于打印成多孔支架,如下图所示的立体光刻技术构建的PDLLA组织工程支架[3],弹性模量与松质骨模量相当,有利于骨折愈合,降解性与生物相容性好。但PDLLA材料不具有骨传导性,修复骨缺损的速度慢等不足,通常会与一些具有良好的组织相容性、骨传导性和生物活性的无机材料共混制备复合材料。大量研究报道PDLLA材料应用于骨修复及组织工程支架,部分可吸收骨固定装置和颌面骨修复器械已成功在临床上应用,具有良好的组织修复效果,在组织工程领域具有广泛应用。

图:立体光刻技术构建的PDLLA组织工程支架。(A)光学照片,(B) micro-CT可视化,(C) SEM图像,(D) 植入小鼠成骨细胞培养1 d后的支架光镜图。比例尺代表500毫米。[3]
4. 其它应用领域
PDLLA材料在牙种植体与牙槽骨及牙周修复方面具有广泛研究与应用;PDLLA防粘连膜在椎间盘突出症、胆囊结石、阑尾炎、子宫瘤等外科手术中防止术后产生粘连已在临床上应用数十年;此外,PDLLA在可吸收手术缝合线、止血夹、眼科植入物等领域具有广泛应用。
“
关于深圳聚生生物(eSUNMED)
深圳聚生生物科技有限公司(品牌“eSUNMED”)主要致力于生物医用高分子材料、医用3D打印材料、下游医疗用品与器械的研发和产业化。
目前,eSUNMED可为客户提供各类分子量的PLA、PCL等医用级原料,另外,也可根据客户需求,定制粒径在10-100μm的上述聚合物实心微球。
eSUNMED 位于深圳市龙华区,主题基地运营面积达2000多平方米,拥有近400平米十万级标准洁净车间、100平米万级净化实验室,达到药品辅料生产、无菌医疗器械生产的标准GMP厂房,符合生物医用高分子材料行业标准。
注:本文部分内容参考自以下文献:
[1] Jinnouchi H, Torii S, Sakamoto A, et al. Fully bioresorbable vascular scaffolds: lessons learned and future directions[J]. Nature Reviews Cardiology, 2019, 16(5): 286-304.
[2] Lin C Y, Lin J Y, Yang D Y, et al. Efficacy and safety of poly-D, L-lactic acid microspheres as subdermal fillers in animals. Plast Aesthet Res, 2019, 6: 16.
[3] Melchels F P W, Feijen J, Grijpma D W. A poly (D, L-lactide) resin for the preparation of tissue engineering scaffolds by stereolithography. Biomaterials, 2009, 30(23-24): 3801-3809.
[声明]本文来源于互联网转载,转载目的在于传递更多信息,并不代表本网赞同其观点和对其真实性、准确性等负责,尤其不对文中产品有关功能性、效果等提供担保。本站文章版权归原作者所有,内容为作者个人观点,本站提醒读者,文章仅供学习参考,不构成任何投资及应用建议,如需转载,请联系原作者。如涉及作品内容、版权和其它问题,请与我们联系,我们将在第一时间处理!本站拥有对此声明的最终解释权。